Removable Dentures
Comfortable, natural-looking dentures that restore your smile, speech, and confidence.
Removable Dentures
Removable dentures provide an effective, non-surgical solution for replacing multiple missing teeth or entire arches. Modern dentures are significantly more comfortable and natural-looking than earlier generations — using advanced acrylic materials and precision crafting to create prosthetics that blend naturally with the face and feel secure in the mouth.
We offer both complete dentures for patients who have lost all their teeth, and partial dentures for those who retain some natural teeth. Partial dentures use precision attachments or clasps that connect to existing teeth, providing stability and preventing the remaining teeth from shifting. All dentures are custom-made to ensure optimal fit and appearance.
For patients who find conventional dentures unstable or uncomfortable, we also offer implant-retained dentures — a superior option that uses two or more dental implants to anchor the denture firmly in place, dramatically improving comfort, confidence, and the ability to eat a full range of foods.
What to Expect
A simple, comfortable process designed around you.
Consultation
We examine your mouth, assess your remaining teeth and gum ridges, and discuss whether complete or partial dentures are most appropriate for your situation.
Impressions & Design
Detailed impressions and measurements of your mouth and jaw are taken to design dentures that will fit precisely and comfortably, with a shade selected to look completely natural.
Trial & Fitting
A wax trial denture is fitted so you can assess the appearance and bite before the final denture is fabricated. Your feedback shapes any final adjustments made in the laboratory.
Delivery & Adjustment
Your finished denture is fitted and fine-tuned. Follow-up appointments are available as your mouth adapts, ensuring lasting comfort and a secure, natural feel.
Why Choose This Treatment
No Surgery Required
Removable dentures are a completely non-invasive way to replace multiple or all missing teeth.
Restored Eating & Speech
Well-fitted dentures allow you to eat a varied diet and speak clearly and confidently.
Improved Facial Appearance
Dentures support the lips and cheeks, preventing the sunken appearance caused by tooth loss.
Custom-Made for You
Every denture is individually crafted to match your natural tooth shade and facial features.
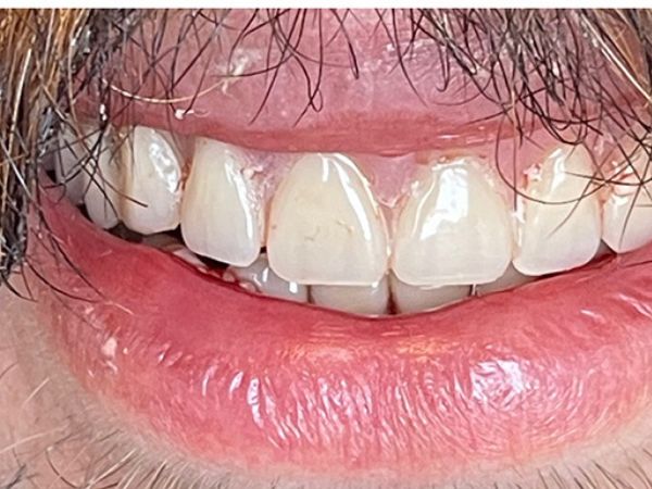
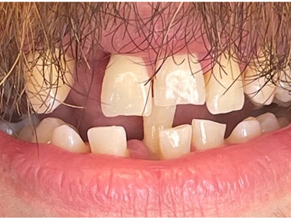
Before & After
Real results from real patients — images provided by the clinic.
Before
After
Common Questions About Removable Dentures
Most patients adapt to new dentures within 4–8 weeks. Initially you may notice increased saliva and some difficulty with certain foods or speech — these are completely normal and temporary. Our team provides full guidance and is available for adjustments throughout the adjustment period.
Dentures should be removed at night and soaked in a denture-cleaning solution. Brush them gently with a soft brush — never toothpaste — to remove food and bacteria. Always handle them over a folded towel or basin of water to avoid breakage if dropped.
Modern, well-fitted dentures look extremely natural. Our specialist dental technicians craft each denture to match the shade and shape of natural teeth, and we pay careful attention to ensuring the gumline looks realistic. Most people cannot tell the difference.
Yes, with well-fitted dentures you can eat most foods comfortably. We recommend starting with softer foods and gradually reintroducing harder items as you adjust. Very hard or sticky foods are best avoided. Implant-retained dentures allow an even wider range of foods to be consumed without concern.
Ready to Book Your Appointment?
Our specialists are ready to assist you. Get in touch today.